CALIDAD Y COMPROMISO EN ODONTOLOGÍA
La Clínica Dental
en Albacete
de tu Confianza
En Clinident Albacete cuidamos de tu sonrisa con la tecnología más avanzada comprometidos con tu bienestar. Tu salud bucodental es nuestra prioridad con resultados naturales y duraderos.
TRATAMIENTOS DENTALES EN ALBACETE
En Clinident Albacete combinamos experiencia, cercanía y confianza para cuidar de tu sonrisa.
Nuestro equipo de profesionales ofrece tratamientos dentales de vanguardia, siempre con una atención personalizada y adaptada a cada paciente.
Trabajamos cada día para que consigas la salud y estética dental que mereces
URGENCIAS DENTALES
Atendemos urgencias dentales el mismo día para aliviar el dolor y solucionar problemas como infecciones, fracturas, sangrado o traumatismos dentales de forma rápida y eficaz
Implantes dentales
Reponemos piezas perdidas mediante implantes de alta calidad, devolviendo funcionalidad, estética y seguridad al sonreír con soluciones duraderas y naturales
Estética dental
Realizamos blanqueamientos, carillas y otros tratamientos estéticos para lograr una sonrisa más armónica, luminosa y natural
AGENDA TU CITA

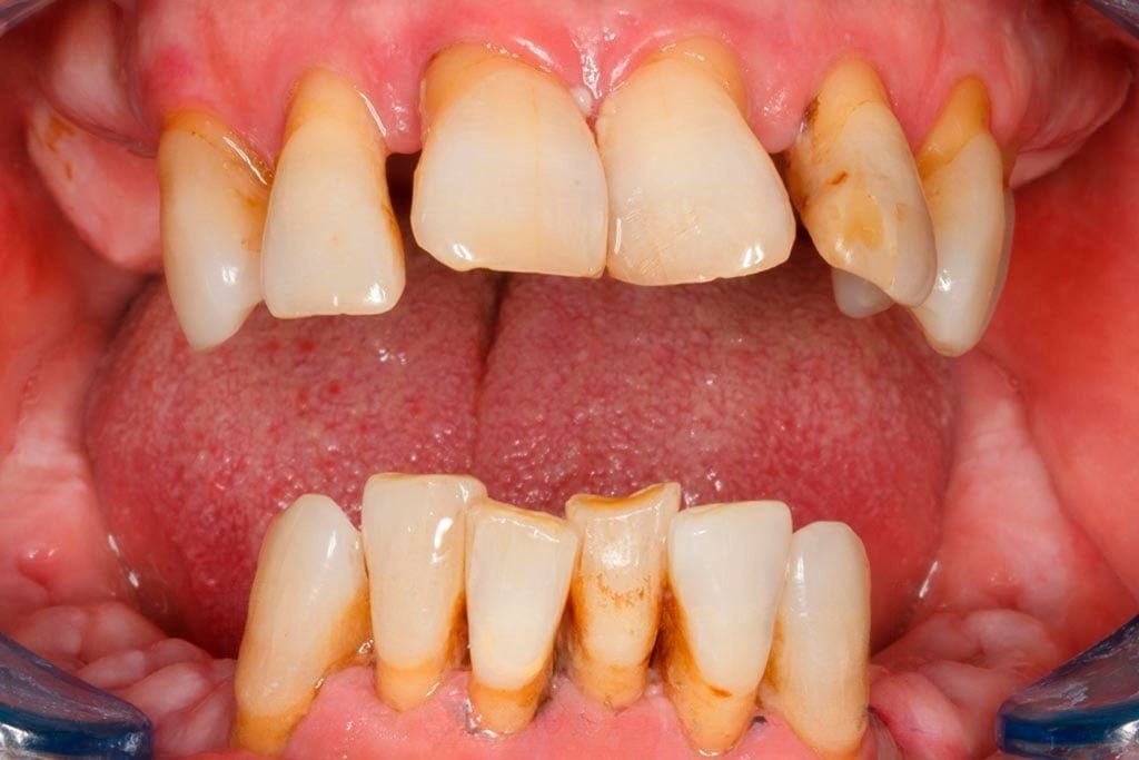
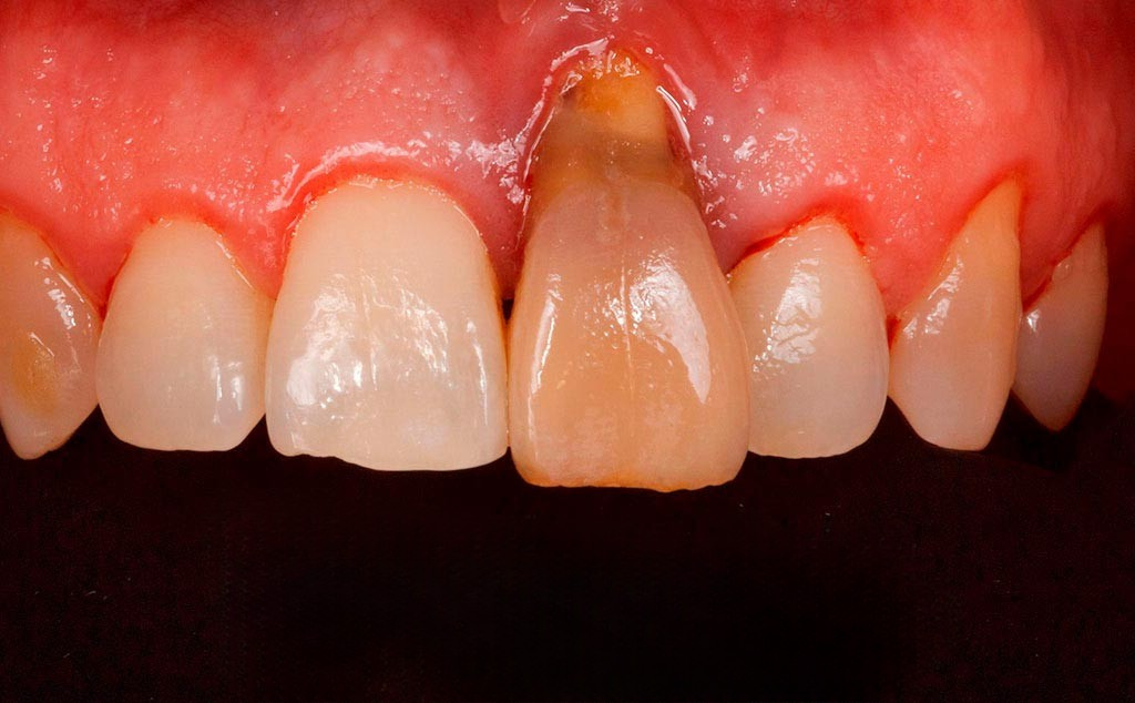
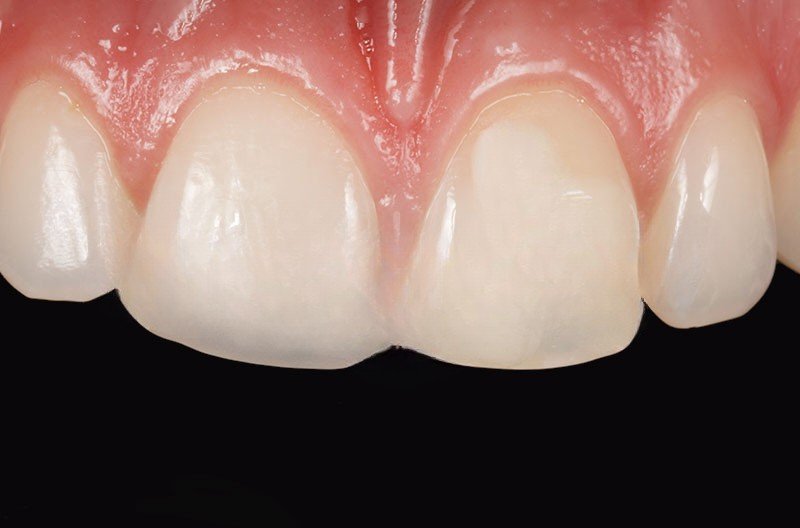
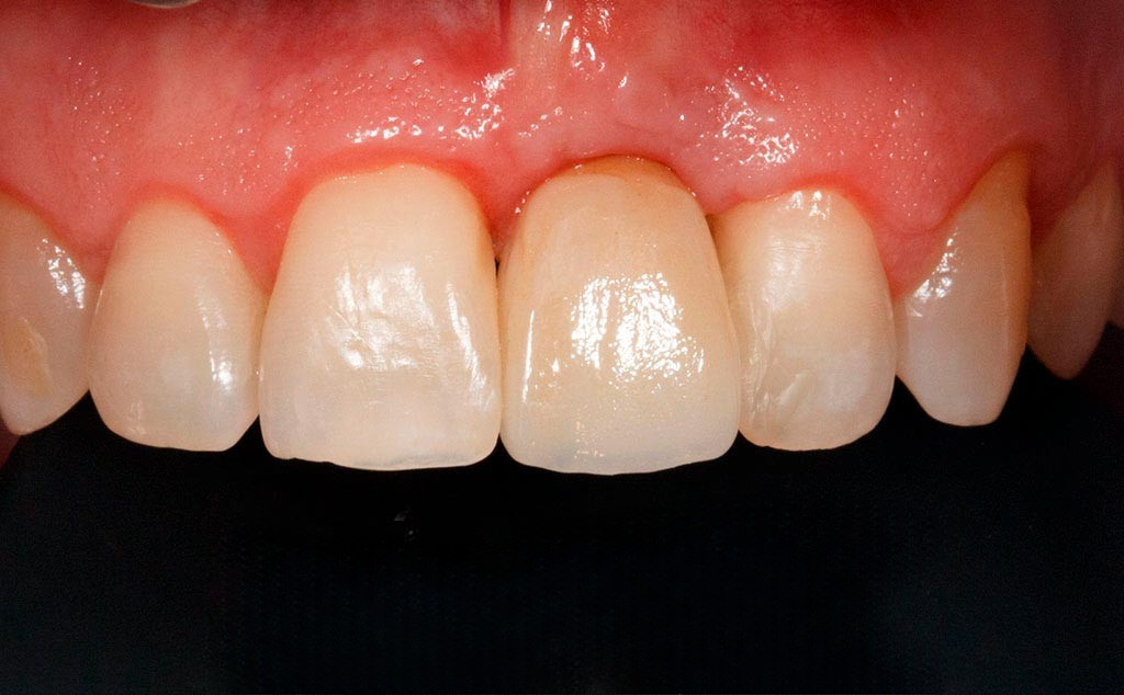
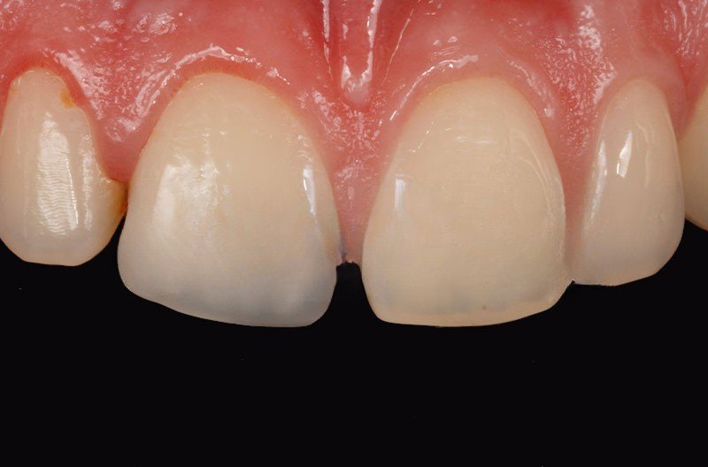
NUESTROS CASOS DE ÉXITO
IMPLANTE
BLANQUEAMIENTO
RECONSTRUCCIÓN TOTAL
RAZONES POR LAS QUE ELEGIRNOS
En Clinident Albacete trabajamos cada día para ofrecer sonrisas saludables y satisfactorias a nuestros pacientes en la ciudad.
Combinamos experiencia, profesionalidad y tecnología de última generación para garantizar tratamientos dentales precisos, seguros y eficaces.
Sabemos lo importante que es sentir confianza y tranquilidad durante todo el proceso, por eso te acompañamos de forma cercana y personalizada en cada paso.
Nos comprometemos a brindarte un servicio de calidad, adaptado a tus necesidades y enfocado en tu bienestar.
Confía en Clinident Albacete y da el paso hacia la sonrisa que siempre has querido.